دندان قروچه(براکسیزم)

 دندان قروچه(براکسیزم)

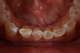
دندان‌ قروچه‌ عبارت‌ است‌ از عادت‌ ساییدن‌ دندانها. دندان‌ قروچه‌ معمولاً در خواب‌ رخ‌ می‌دهد ولی‌ ساییدن‌ یا کوبیدن‌ دندانها در طول‌ روز نیز شایع‌ است‌. دندان‌ قروچه‌ مداوم‌ ممکن‌ است‌ باعث‌ خوردگی‌ لثه‌ها و استخوانهای‌ حمایت‌کننده‌ از آنها در دهان‌ شود. در این بیماری صداهای‌ آزاردهنده‌ دندان‌ قروچه‌ در شب ایجاد می‌شود‌. این‌ صداها ممکن‌ است‌ چنان‌ بلند باشند که‌ دیگران‌ را از خواب‌ بیدار کنند. انقباض‌ فراوان‌ عضلات‌ در یک‌ طرف‌ صورت‌ و در نتیجه خستگی و گاهی درد در عضلات صورت، سایش و آسیب‌ به‌ دندانها، لثه و استخوان‌ حمایت‌کننده‌ آن، لقی دندانها، افزایش درد دندان و حساسیت ،بی خوابی و گاهی سردرد و گوش درد از پیامدهای دندان قروچه می باشند.

علل‌

استرس و اضطراب‌ می‌توانند باعث بروز دندان قروچه شوند.این دو عامل سبب افزایش فعالیت عضلانی در ناحیه فک و صورت می شوند.مصرف داروهای ضد افسردگی،نوشیدنی های کافئین دار و الکل می توانند خطر براکسیزم را افزایش دهد.استرس در کودکان بیشتر از بزرگسالان سبب براکسیزم می شود.در کودکان گاهی دندان قروچه نشانی از وجود انگل در روده هایشان می باشد.تروما و اختلالات رشدی_فکی نیز می تواند سبب بروز براکسیزم شود.

درمان‌

معمولاً براکسیزم در طی 6 درمان می شود‌. معمولاً برای‌ این‌ اختلال‌ دارو لازم‌ نیست‌، ولی  ممکن‌ است‌ در بیماران ویژه ای‌، درمان‌ با یک‌ آرام‌بخش‌ یا خواب‌آور‌ در مدت زمانی کوتاه کمک‌کننده‌ باشد. درمان شامل موارد زیر است:

1-شناسایی‌ مشکل‌ به‌ وسیله‌ بیمار و تلاش‌ آگاهانه‌ برای‌ ترک‌ عادت‌

2-ماساژ درمانی و مالش عضلات صورت و فک پیش از خواب برای کاهش تنش عضلانی و نیز دوش آب گرم پیش از خواب و گوش دادن به موسیقی آرام بخش

3- دندانپزشک‌ شما ممکن‌ است‌ برای‌ پیشگیری‌ از دندان‌ قروچه‌ در هنگام‌ خواب‌، یک‌ پروتز محافظ‌ شب‌ (نایت گارد) برای شما بسازد .استفاده از نایت گارد در شب می تواند از فشار بر دندانها و در نتیجه سایش آنها جلوگیری کند و به مرور سبب ترک عادت دندان قروچه شود.

4- مشاوره‌ برای‌ آموختن‌ روشهایی‌ جهت‌ کنار آمدن‌ مؤثرتر با استرس و کاهش استرس در زندگی

5- جویدن آدامس در طی روز برای کاهش میزان فشار بر روی فک ها

6-خودداری از نوشیدنی کافئین دار و قهوه و الکل پیش از خواب

7-خوردن دمنوش های آرام بخش مانند گل گاو زبان یا خوردن گلاب یا بوییدن آن پیش از خواب

8- خوردن مکمل های کلسیم و منزیم. کلسیم و منیزیم برای عملکرد ماهیچه ها و سلامت سیستم عصبی ضروری هستند.اگر شما کمبود این مواد را داشته باشید دچار مشکلات انقباضی وکششی و فشاری با عضلات خواهید شد.

9- خوردن داروهای آرام بخش و ضد اضطراب با تجویز پزشک بدون‌ درمان‌ ممکن‌ است‌ دندانها، استخوانها و لثه در اثر فشار ساییدگی‌، خورده‌ یا شکسته‌ شوند.

                                                                                                                        

 

 

۳ دیدگاه

ارسال دیدگاه

آدرس ایمیل شما منتشر نخواهد شد. فیلدهای الزامی مشخص شده اند.